DOLLE COMMUNICATIONS

 

Home       About Us       Drum Circle Facilitation       Drum Circles in the Workplace       Keynotes

 

          Hydrocephalus Care & Monitoring       Cognitive Neurosciences       Contact Us

 

 

SHUNT SELECTION MODEL: CNS Shunt Monitoring and In-Vivo Analysis with the DiaCeph Test, a Single ICP Tap, and Bench Tests ...

 

SHUNT SELECTION MODEL: CNS Shunt Monitoring and In-Vivo Shunt Prediction with the DiaCeph Test, ICP Taps, and Bench Tests from Alfred Aschoff, M.D., at the University of Heidelberg

Method of Predicting Outcomes and Selecting Pressure Settings with CNS Orbis Sigma (OSV II), Codman Medos, and Aesculap Pro Gav Shunt Valves

By: Stephen Dolle, B.S.B.A., Neuroscientist    Updated: Sept. 16, 2013 (Updated Shunt mfr links too)

Topic: Care and Treatment of Hydrocephalus

Summary

    This paper initially presented a tandem protocol for in-vivo shunt monitoring in hydrocephalus using the patented DiaCeph Test and a single ICP shunt tap in the neurosurgeon's office. It has been appended in 2011 to include methods, discussion, and results of monitoring with the new Aesculap Pro Gav valve with favorable results. As the DiaCeph Test's inventor and scientist affected by hydrocephalus, I have undertaken exhaustive research and efforts to bring this information to publication. For neurosurgical professionals reading this paper, try and imagine what you would do for the present state of affairs in shunting, should you develop hydrocephalus.

   In my initial study, real time monitoring data was referenced against manufacturer's specifications of their valves, against similar valves, and against CSF flow rates of the valves reported in bench tests by Dr. Aschoff and colleagues at the University of Heidelberg's hydrocephalus research center. I've been working with the DiaCeph method since its inception in 1998, and thus have quite a bit of experience with its methodology and pitfalls as a non-invasive method. Its clinical parameters and markers are widely recognized in the assessment of shunt performance and hydrocephalus. The key challenge in shunting today remains in facilitating the appropriate shunt outflow and physiologic ICP in all postures, without knowing each patient's outflow and pressure needs. Short of in-hospital ICP monitoring, the neurosurgeon must guess which valve and pressure selection will optimally enable this CSF outflow rate. The DiaCeph method allows the neurosurgeon to pre-determine this thru analysis of the patient's history and shunt outcomes. My method examines the patient's markers in both supine and upright postures to determine CSF outflow needs at varying postures and time of day, and I cross reference this data to valve specifications and flow rates to achieve the best overall fit. I find the "Shunt Selection Model" to be efficacious and much less costly than in-hospital ICP monitoring.

   This paper initially featured analysis and results with my own personal shunt outcomes from 2005 to 2011, identified as Patient 1. I am now adding my experiences with the Aesculap Pro Gav valve. I have been providing hydrocephalus consults to patients and their families, and over the last year or two for a fee. And can add these experiences as well. I am able to report excellent results with the DiaCeph method, including, in one patient where DiaCeph concluded that the patient's shunt should be removed, and this was done with very favorable results. Here is the results from a 2010 DiaCeph Shunt Monitoring consult.

   As Patient 1 and inventor of the DiaCeph Test, I was shunted in 1992, and as of 2011, have had a total of 9 revisions. My current shunt is the Aesculap Pro Gav implanted in May 2011. This paper initially featured analysis and results in my hydrocephalus care between 2005 and 2008, where in 2005, my in-office ICP tap was 25 cm of H2O (supine), and -10 cm of H2O (upright). DiaCeph Graphs of my complaints over a several month period coincided with increased ICP at night, and overdrainage during the day. I compared my OSV-1 specs to the specs of 7 widely used shunts and their CSF flows as reported by Aschoff et. al., with consideration also to my frontal shunt site, and height of 6' 2". The model predicted both the OSV-2 and Codman Medos programmable with Siphon Guard would be suitable matches. The Codman was placed in July 2007, and its best setting was determined to be 40, after a total of 6 trial settings. But over the following months, the valve began to loose its setting and jump to 90 and 110, respectively, whic was confirmed on planar skull/shunt x-rays. Eventually the Codman had to be revised for this reason. Codman would not respond to my requests for an assessment protocol to magnetic interference. My Codman Medos valve was revised in May 2008 to the OSV-2, and my 6 month follow-up CT scan revealed normal-sized ventricles for the first time in 16 years. These results are remarkable in that neurosurgeon after neurosurgeon said that my ventricles would never return to normal, and some tried to discourage my own efforts to change my outcome. Earlier from 1992 to 1998, I had a Delta valve implanted on the top of my head from UCLA Medical Center Neurosurgery, and eventually petitioned FDA on the unreported issues with site placement with these anti-siphon shunts. It was these challenges that led to my creation of the DiaCeph Test method.

The following 15 Year DiaCeph Graph compares in-vivo performance of my Delta Ultra Low valve, OSV-1, Codman Medos with Siphon Guard, and OSV-2 valves. This DiaCeph Codman Graph compares in-vivo performance of the Codman at settings of 40 and 90 to the OSV-1 and OSV-2 valves. Postsurgical results indicated the OSV-2 valve to be a proper match.

   In February 2010, I was emergently revised and the new Low Profile Orbis Sigma (OSV-II) valve was implanted. Four months later I began to overdrain and experience "Slit Ventricles" according to CT images below. I questioned this new shunt's equivalence and flow rate to the standard Orbis Sigma valve. Based on my CT scan and complaints, I speculate this Low Pro valve had a 20% higher flow rate than specification.

CT Image 6-11-2010, 4 months post Low Profile OSV II valve (image/CD courtesy of Hoag Imaging Center)

 

 

 

 

 

CT Image 6-28-2010, 17 days post slit ventricle finding (image/CD courtesy of Hoag Imaging Center)

   

 

 

 

 

   In May of 2011, I was implanted with the new Miethke proGAV shunt valve from Aesculap. The proGAV just received FDA 510(k) approval in November 2010, so there's always a little risk in being implanted with a new type of medical device. But, separately, the proGAV's two integral components, the ShuntAssistant, and the programmable GAV valve, have been in use for 6 to 10 years. With my being the 10th valve my neurosurgeon had implanted, I felt he had sufficient favorable results to move forward with with its use in this most recent revision. In addition, I had become frustrated with QA problems with the other available valves. In 2008, less than 8 months after implantation, my Codman Medos valve had to be revised after it could no longer retain its setting. And two different OSVII valves lasted less than one year. It was time to try something new and different.

   The CSF flow path of the programmable GAV valve is a ball and spring mechanism, housed within a titanium enclosure for strength and stability. Ball and spring designs are known to be one of the most reliable and longest lasting of any of the shunt valve designs today. The Codman Medos programmable valve is also a ball and spring design. The GAV features a range of twenty (20) opening pressure settings between 0cm H20 and 20cm H20. These selections are not to be confused with ICP measurements, which are more often measured in mm of H20.

   The ShuntAssistant portion of the proGAV is its anti-siphon device, and consists of a small cylinder with a floating ball resting on top, which opens and closes variably to the user's body posture - relative to vertical (sitting and standing) and horizontal (laying down). The ShuntAssistant is located within the proGAV assembly just distal to the valve. It is not a linear resistance relationship to your postural angle, however. Its siphon retarding action is weighted more proportionally to vertical, meaning, at just a 30 degree posture from lying down, it has 50% of its siphon retarding action. The ShuntAssistant must be pre-ordered with either a 10, 15, 20, 25, 30, or 35 cm H20 resistance level, and therein lies a new challenge: having to gage how much anti-siphon resistance a hydrocephalus user will require, without any routine means of measurement prior to surgery. If the user already has a functioning shunt, an ICP tap in the neurosurgeon's office in different postures could offer this information. But to my knowledge, it is not being done. Even with the 0 - 20cm H20 range afforded by the GAV valve, if the hydrocephalus user's postural outflow needs are dramatically less, or more, than the resistance of the implanted ShuntAssistant model, I don't think you get a good physiologic fit and can end up with a patient having ongoing complaints and surgical considerations of whether to revise to a more appropriate ShuntAssistant model. I say this because after nearly 3 months with my 20cm proGAV model, I am not yet satisfied that my 20cm H20 ShuntAssistant is the correct or optimal anti-siphon resistance for me. My proGAV has been adjusted 8 times, and I still remain symptomatic. But, I'm not through monitoring with my DiaCeph method and exploring more optimal GAV settings in the hopes of finding the right fit. However, I do believe Aesculap should offer a pre-implantation protocol to avoid sub-optimal ShuntAssistant matching. I elaborate more on this, and my accompanying CT images below.

   What sets the proGAV apart from other programmable valves on the market is its locking pin on the programmable wheel, which prevents accidental reprogramming of the valve from magnetic fields up to 3 Tesla. The only other valve to offer this feature is the Sophysa Polaris valve, which does not come with built in siphon control. By comparison, the Codman Medos programmable comes with a range of settings from 30mm H20 to 200mm H20, and this valve does come with a siphon control device termed the SiphonGuard. It operates differently to the ShuntAssistant, by opening and closing in response to the patient's hydrostatic pressure. Since I've had the Codman/SiphonGuard and now the proGAV, I see only a slight difference between the way the two regulate postural changes. In broader comparison, I think my earlier OSVII regulated postural changes the best. But I'm not through with my evaluation with the proGAV.

   Another possible issue with the Aesculap ShuntAssistant is that it must be placed vertically in the head, neck, or chest, and sometimes this may not be possible. For instance, when it is placed in the back of the head, there is a likelihood that when the user is sitting or standing there is not 90 degree angle, and thus the siphon control value will be less than the preferred level. But with the programmable portion of the valve, adjustments by 1cm of H20 or more can be made in the hope of fine-tuning the overall flow rate and resistance of the proGAV valve. And this is where I am at today.

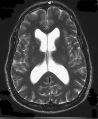
   Below, are my CT images beginning on Jan. 17, 2011, where there is some enlargement of the ventricles, followed by further enlargement on April 9, 2011, even more enlargement on June 8, 2011, despite my May 23, 2011 revision. Finally, there was slight reversal of ventricular enlargement on June 20, 2011, and then normal sized (almost too small) ventricles on July 23, 2011. In hindsight, one mis-step my neurosurgeon and I made in this was in not doing a CT scan right before surgery so as to have a true baseline. My headache, nausea, memory, and balance symptoms had worsened from April 9, 2011 to May 23, 2011, and I had lost appetite and weight. A CT on the revision date would have likely shown considerably more ventricular enlargement compared to April 9th, rendering the post op CT of June 8, 2011 an improvement instead of a worsening as we believed. I was having ongoing headaches upon waking in the a.m. and during the daytime with the proGAV revision, no real improvement in memory, and no apparent improvement on CT compared to April 9th, I requested the proGAV to be lowered all the way to 0 during only a few weeks post op. Despite programmable shunts having been in use today for 12 years, there remains some considerable confusion and miscalculations in achieving optimal shunt settings. I remain dissatisfied with industry's inattentiveness to this issue, and I think this lack of attentiveness also speaks to the high number of unofficial reports of accidental reprogramming of (Codman & Medtronic) programmable shunts. Of course, with the proGAV's addition of a locking pin on the GAV valve wheel, it is unlikely it will succumb to any accidental reprogramming.

   Under each of my CT images, I list the proGAV's corresponding setting. It was initially set at 10 during surgery. Then with no improvement in my complaints one week later, I asked that it be lowered to 7, and one week later to 5, then to 3, and finally to 0. During this period, almost every morning I awoke with a substantial headache that I assumed was due to increased ICP and underdrainage. On the June 20, 2011, CT we could finally see some decrease in the dilation of my ventricles, and determined the shunt to be working. But, we were still puzzled by the ongoing awaking a.m. headaches. For this reason, it was temporarily raised to a setting of 2, and then with no relief back down to 0. It remained at 0 for almost a month when the July 23, 2011 scan revealed normal sized ventricles.  Because of the relatively short period it took for my ventricles to come down to normal, we since raised the proGAV to 2, and then currently to 4. We are now observing my complaints, and would like to raise it one more time to 6.

   My awaking a.m. and daytime headaches have improved partially, and this may be due to my ventricles returning to normal size, or perhaps with raising the setting to 2 and then 4. My current predicament with the proGAV is two-fold: 1) My ventricles came down too fast in size to normal and a 0 setting clearly would allow my ventricles to collapse. Yet, we're not sure what raised setting of 4 or 6 or whatever would regulate my ventricles in a safe range of size? And 2) What setting might allow my current early a.m. and daytime headaches to subside? Or, are these headaches due to a mismatch in either sleeping at night or being on my feet during the daytime? Aesculap has been a disappointment in helping to answer these questions.

   My current complaints are headaches still often upon waking in the am, but not as severe as was earlier, and headaches in the later morning, afternoon, and evenings. I have had some improvement in memory, but am trying to understand the cause of my current complaints via DiaCeph monitoring, which could be an app for a mobile phone if anyone cared!!! I am trying to determine whether a different setting might be of help to my complaints, or if I should allow more time to adjust, or might I have a mismatch with the ShuntAssistant model?

 

                      XXXXXXXXXXXXXXXXXXXX

Jan 17, 2011 OSVII                 April 9, 2011 OSVII                 Shunt Revision to proGAV May 23, 2011

 

                  

June 8, 2011 proGAV  5/20    June 20, 2011 proGAV 3/20    July 23, 2011 proGAV 0/20

 

Shunt History, Outcomes, and Complaints

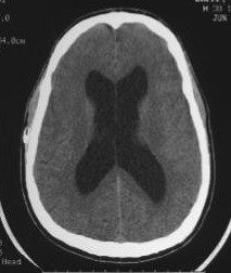
    The first image below at left (July 1992) was one month after an automobile accident, and before this patient was shunted. His initial treatment course followed a PS Medical medium pressure shunt, a Delta Low Pressure, and Delta Ultra Low Pressure, with only a limited reduction in complaint and ventricular volume. In 6 years with PS Medical/Medtronic Delta shunts, he reports that he could only be up about two hours at a time each day before suffering headaches that forced him to lay down. He remarked it also presented a lot of confusion to each of his neurosurgeons. In 1994, he had his distal catheter resected as it had become clogged. His neurosurgeon remarked that he had the "lowest pressure Delta valve" and further revision to a valve with a "lower" opening pressure was not possible. At that time, nothing was ever said of his having a top right frontal shunt location for his Delta valve. As his neurosurgeons between 1993-95 believed his Delta was the lowest opening pressure shunt available, no other attempts were made to normalize his ventricular volume or complaints (that would last unabated until 2008). When he learned in 1996 of critical Delta studies by Higashi et. al., he petitioned FDA and ended up creating the DiaCeph Test to try and determine what might be wrong with his shunt. To get by, he created his own balance, cognitive, and headache compensatory mechanisms to address his deficits. As a rising shunt expert, he says he even adopted the belief that the size of his ventricular compartment was not so significant, but more so the level of his complaints. Though he had considerable ongoing complaints, he learned to live with them and knew his outcome could always be worse. It was only after his successful 2008 revision and CT scan, that one began to rethink the "ventricular volume" connection to shunt outcome.

    In late 1997, he used his DiaCeph Test to document and direct further testing of failure of his shunt, and it proved extraordinarily accurate. In February 1998, he underwent a complete revision to an OSV-1 shunt, and expressed immediate relief for the first one to two months. However, a few months after surgery he suffered a significant blow to the shunt area of his head while painting in his home, and immediately began to awaken in the middle of the night with headaches, with worse daytime complaints as well. He made repeated attempts to have his shunt revised to no avail, short of any conclusive diagnostic results. The shunt was not taped until late 2005, when ICP was measured to be 25 cm H2O. It took until June 2007 to find a neurosurgeon who understood his case, and he was revised to the Codman Programmable Medos (Hakim) with Siphon Guard.

    The Codman with Siphon Guard was a proper match per analysis with this Shunt Selection Model. He had qualified feedback from neurosurgeons and others in the field that the Siphon Guard seemed more prone to obstruction, and had heard mixed reports as to its spontaneous reprogramming and stability. He also telephoned the regulatory affairs staff at Codman, and was assured of its stability. The Siphon Guard is thought to add as much as an additional 10 to 30 mm of H2O resistance to a Medos valve. Codman's literature and trials state most neurosurgeons were able to reach a suitable opening pressure with their patients in one or two trial selections. But in this study experience, it took the neurosurgeon six trial settings to identify the most physiologic. DiaCeph paper forms were also to collect in-vivo shunt performance data at each setting. It took three months to determine this best setting of 40. We authored this programmable shunt calculator in consideration of this trial process.

    At a setting of 40, the patient reported that he felt good sleeping thru the night without interruption from headache while lying flat in bed, something he hadn't done for 6 to 7 years. Daytime performance with the Codman with Siphon Guard he says was mixed. There were long periods of each day where he would overdrain slightly (one might expect some overdrainage at a 40 setting), where it could overdrain briskly for 20 to 30 minutes after laying down and standing upright, and it could also allow ICP to become elevated sometimes while sitting upright. These conclusions were also taken from his moving about and bending over. Just two months after this 40 setting was reached, he reported he began to awaken in the middle of the night with headaches, and some improvement as he got up in the a.m., suggesting increased pressure. When it continued for one week, he telephoned his neurosurgeon and the shunt was reprogrammed. He says this sequela continued for another week or two, and he requested that the shunt be x-rayed and it was found to be resetting to 90, 110, and higher, consistent with complaints observed thru the DiaCeph Test. The Codman rep also came out to the neurosurgeon's office with a new reprogramming instrument, which the rep found difficult to use. The rep fiddled with the instrument for some 45 minutes, unable to discern the site of his valve's central reservoir in which to align the handset. The patient finally had to instruct the rep and nursing staff. The patient reports he could not identify what was causing his Codman Medos to reset despite surveys of his house with a sports compass. He also telephoned and wrote to Codman proposing to create a magnetic field test videotape so users could evaluate their surroundings for threshold magnetic interferences, but Codman declined to respond. With his Codman now loosing its setting each week or two, it was revised with the OSV-2 shunt. The patient initially tried to get the OSV-2 for his February 1998 revision, but it had not received FDA clearance. His CT brain image of Oct 2008 shows  a complete normalization of the ventricular compartment.

    Of noteworthy neurology and neuropsych consideration is how much further improvement might this patient expect in hydrocephalus complaint, specifically, daily headaches, short term memory, long term memory, and balance and vestibular complaint. Immediately after discharge with the OSV-2, the patient observed headaches to be less problematic, particularly, overdrainage in the a.m. He experiences some intermittent awakenings at night time with REM sleep, without any pattern to it. He reports that by the 3rd month following the OSV-2 revision he seemed to be getting long term memories back, and shares that since his hydrocephalus onset and being shunted in 1992, he had lost a substantial amount of long term memory that over the years he had worked to relearn (and re-experience). Now 6 months post revision and with normal-sized ventricles, he reports that his balance/ vestibular complaints, long and short term memory, and emotional views continue to improve ever so slightly. It is uncertain how much further improvement he will see, but it is still too soon to say. He reports his headaches are fairly consistent each day, where much of the time he is aware of a draining shunt. His follow-up in 6 months will certainly be of interest. 

    Special thanks in this paper and favorable outcome go out to Dr. Alfred Aschoff at the University of Heidelberg for his shunt research and CSF flow bench tests of many available shunts. His "in-vitro" hard data provided guidance and markers for this "in-vivo" shunt (via DiaCeph) comparison method. Thanks also go out to Dr. Christopher Duma, neurological surgery, and the Radiology Department  at Hoag Memorial Hospital, who cooperated in helping make this surgical outcome and collage of brain images possible. This paper concluded both the Codman programmable and OSV-2 valves to be a good physiologic match.

 

Materials:

1. Hydrocephalus monitoring form

2. Blank plotting graphs

3. DiaCeph 3-Yr Day Graphs; 15 Year DiaCeph Graph; DiaCeph Codman Graph

4. Aschoff Shunt Reviews: "482 Valves Tested in Vitro and Review of 652 Tests Reported in Literature," Aschoff, et. al.

5. Shunt Technology Perspectives presentation, Aschoff et. al.

6. CT and MRI scans of the sample patient from 1992 to 2008

7. Available literature on the 7 shunts and 2 anti-siphon devices considered in this study

 

                               

July 1992 pre-shunt         Dec 1992 Delta-Low        June 1993 Delta-Ultra Low    Feb 1994 Distal Revision

 

                             

Dec 1997 pre OSV-1        June 1998 post OSV-1           Nov 1999 OSV-1             Feb 2001 post OSV-1

 

              

Dec 2003 OSV-1              June 2007 OSV-1       Nov 2007 Codman Medos w SG       Oct 2008 post OSV-2

 

Shunt Selection Monitoring with the Tandem DiaCeph/Single ICP Tap: Introduction

    Field professionals active in the treatment of hydrocephalus would agree there is great need for real-time ICP (intra-cranial pressure) and shunt performance monitoring in the normal routine of the patient. Currently, perhaps the best available testing is 48 hour in-hospital monitoring. However, it is infrequently used due to its high costs, risks of infection, and concerns over actual benefit to the patient. Instead, in-office ICP taps and isotope clearance exams are more often performed to ascertain a single instance of ICP measure and shunt patency, respectively. Still, these widely used exams reveal little in view of the common "intermittence" of shunt malfunction, as well as shunt performance and shunt pressure matching in the normal routine of the patient. The resulting advances and reliability of implantable ICP monitoring has been disappointing, and diagnostic shunts remain years away. If and when they do become available, should patients be revised merely to implant diagnostic shunts when other alternative diagnostic options are available?

    An efficacious and practical method of hydrocephalus monitoring employs the tandem application of 24/7 DiaCeph home monitoring and a single patient visit and ICP tap in the neurosurgeon's office. Should the neurosurgeon suspect deterioration of shunt status, rather than rely upon traditional CT/MRI/Isotope clearance exams, he can tap the patient's shunt reservoir and take measurements in the upright and supine postures. He can then compare the ICP tap findings and clinical symptoms to comparable data points on the patient's DiaCeph day graph. In corroborating two or more identical points, he can reliably extrapolate the reliability of the other times/days of DiaCeph monitoring. When possible, the neurosurgeon should also aspirate and re-inject CSF fluid to and from the ventricles - to assess patency, compliance, and the patient's present tolerance to abnormal ICP levels. He should also note changes in headache, nausea, dizziness, and cognitive complaints - which are also key parameters of the DiaCeph Test. How closely the in-office shunt tap readings match the patient's same DiaCeph data points is indicative of DiaCeph's overall accuracy in the care of the patient, and the indicated home monitoring techniques the patient or caregiver has followed.

    In our patient study, we examined a single patient using several months of DiaCeph data on one graph. We plotted eight (8) data points corresponding to incident and typical shunt performance over the previous 3-month period, and noted patient complaints and the activity being undertaken at each data point. We then tapped the patient's shunt in the neurosurgery office, and measured manometer readings of -10 cm H2O sitting, and +25 cm H2O supine. The patient's complaints were verbally queried while we aspirated and re-injected 5-10 cc of CSF/sterile water, to assess the patient's level of compliance and tolerance to raising and lowering his ICP. This patient's physiologic ICP was observed to be within a 10-15 cm H2O "window" of his initial measurements. Then we compared these measurements with the DiaCeph graph. Not only did the initial ICP measurements match up with his DiaCeph data points, but his physiologic "window" and level of complaints at those data points also matched our neurosurgery office findings. Note this patient's ventricular enlargement in the images above.

    Our information collected also served shunt assessment and selection in a second manner. We overlaid "averaged data points," and created this 3-page DiaCeph 3-yr comparison graph. It allowed the treating neurosurgeon to correlate the patient's real time measured ICP and CSF outflow requirements with specifications of available shunts, and to compare outflow needs with shunt specifications and CSF outflow charts by Aschoff and his colleagues at the University of Heidelberg. The protocol enabled a highly reliable level of physiologic matching to a particular shunt system, and was similarly used to determine the most physiologic setting in the Codman programmable shunt. For additional reading, this DiaCeph Test Power Point presentation follows two sample patients: one with an incorrectly set programmable shunt, and a second with shunt obstruction. Note to the neurosurgeon: In order for an ICP manometer reading to be accurate via the shunt reservoir, some distal point of (peritoneal) catheter on the head must be pinched off with finger pressure.

Monitoring with the Tandem DiaCeph/Single ICP Tap: History and Methods

    This new tandem assessment method can aid the neurosurgeon's care of hydrocephalic patients in a number of ways: documenting evidence of shunt malfunction, selecting a physiologic shunt in the event of a revision, selecting the most physiologic setting in programmable shunts, assessment of new patients prior to first time shunt placement, and in post discharge assessment of patients with ETVs. The use of Diamox, as an interventional diagnostic assessment of hydrocephalus, can also be done in tandem with DiaCeph monitoring. Similarly, spinal taps and cisternography can be used in tandem with DiaCeph monitoring. DiaCeph data collected from a shunted patient can serve as an invaluable reference point for future management of the patient. Our Hydrocephalus and DiaCeph Patent sections provide additional useful information on CNS shunts and the management of hydrocephalus. SEE also our links on our Science and Technology section.

    Historically, first time shunt placement involved implanting a medium pressure shunt of a type most familiar to the neurosurgeon, with the patient seen in follow-up after one to three months. CT or MRI imaging had been, and remains the primary determining exam, in evaluating the patient for proper shunt function - albeit assessment of ventricular size/change after shunting or ETV. The neurosurgeon will also perform an in-office neurological exam, and in the proper setting, may tap (insert) a needle into the shunt reservoir to measure ICP (intra-cranial pressure) and CSF (cerebral spinal fluid) flow resistance within the shunt. If shunt obstruction is believed, he could also order an isotope clearance test, where a radiotracer is injected into the shunt reservoir and imaging performed for up to an hour. More infrequently, he may order an isotope cisternogram, where an isotope is injected into the spinal fluid space and imaged for 72 hours, or he may admit the patient into the hospital for 48 hour ICP monitoring.

    More often than not, after initial shunt placement, a revision to a shunt with different pressure/flow specifications setting is required. And today, some neurosurgeons will elect to implant a "programmable" shunt from the start to avoid having to re-operate to a shunt with a different opening pressure. In these shunts, the opening pressure, or amount of resistance, can be readily adjusted externally using a calibrating instrument provided by the manufacturer. But these do have their drawbacks, as discussed later in this paper. Also quite common today, is the use of "anti-siphon" shunts, and separately attached siphon reducing devices in conjunction with a selected primary shunt. Alternatively, some neurosurgeons will opt to use one of two newer " auto-regulating" shunts, either the Orbis Sigma Valve or Diamond Valve. Again, each of these technologies comes with their own finer points, and drawbacks. It is up to the treating neurosurgeon, in each case, to determine what will best meet the patient's needs. It has been a "trial and error" process. However, our new tandem protocol can substantially improve shunting.

    Over the last seven years, Codman, Medtronic, and Sophysa have each introduced their own models of programmable shunts, with Codman being the first to receive FDA marketing approval in the U.S. In addition, two newer fixed resistance " anti-siphon devices" have been introduced, the Miethke shunt assistant, and the Vygon/Phoenix Biomedical gravity compensating device. Programmable shunts have aided in reducing the number of surgical revisions due to a mis-match in shunt opening pressure. But, they are yet to become the new standard in shunting for two reasons. First, siphon control devices often need to be subsequently added or removed surgically. Secondly, programmable shunt pressure settings can be "tripped" accidentally by various common magnetic fields. Sophysa has introduced a new model, the Polaris, that cannot be tripped by magnetic fields. Amidst the newer shunt technologies, a multi-center study by Dr. Drake et. al. and his U.S. colleagues published in year 2000 did not report significant improvements in overall outcomes and survival rates compared to previous years. Perhaps, a revisiting of this study might reveal a greater improvement in measured outcomes.

    In light of the versatility that these newer shunts have added to shunting outcomes and pre-surgical shunt selection (re: opening pressure models), postural overdrainage and physiologic ICP in all postures remains an on-going problem. We believe the big advance in shunt technology will come via "programmable siphon control devices" - for fine-tuning upright physiologic ICP and overdrainage. When coupled with a sufficiently flowing auto-regulating shunt, a programmable siphon control device would resolve 95% of shunt related complaints and surgical revision due to pressure/flow characteristics. 

    CSF overdrainage, or siphoning, is more prevalent in taller children and adults, in those with slit ventricle syndrome, and in those who have a lesser degree of shunt dependence. Overdrainage, and subsequently low ICP, occurs when the shunted patient (primarily v-p shunts) sits or stands for any period of time. Headaches, small slit like-ventricles, brain shearing and/or bleeding can result if too much overdrainage occurs. Once a patient is fitted with a shunt, most will continue to have some residual CSF clearance, and coinciding with their degree of shunt dependency. Each patient's supplemental CSF outflow needs via shunting, plus age, weight, and other factors specific to each patient, will determine their unique specifications required of a shunt.

    Overdrainage (too much CSF outflow) vs. underdrainage (too little CSF outflow) has historically been difficult to measure, absent daily routine monitoring of the patient. Underdrainage typically occurs with a valve of too high an opening pressure - but it can also be confused with shunt obstruction. Overdrainage usually occurs due to either of two factors: either the opening pressure of the shunt valve is too low, or the patient is more affected by the increased CSF flow, or "siphoning," that occurs when the patient sits or stands. Overdrainage is rather easy to ascertain, but selecting the correct technology solution is more complex. Once a shunt is felt to produce an acceptable response on CT/MRI and upon review of clinical symptoms, the outcome is considered successful and the patient then followed by a neurologist or family physician. Sometimes, more often than most would acknowledge, a shunted patient will continue to experience complaints resembling shunt malfunction, to which the neurosurgeon cannot differentiate upon exam, or correct with shunt revision or a change in pressure setting. This has become a subject of much debate in the neurosurgical community - determining "when" a satisfactory surgical outcome exists, and "when" to intervene further surgically, therapeutically, or medicinally.

    New research we have undertaken suggests that a significant portion of once believed shunt related complaints may in fact be due to sensory integration deficits and/or sensory processing dysfunction brought on by repeated surgical interventions, and/or secondary neurological disorders and neuropathology, including stress and PTSD (post traumatic stress disorder). As the "hippocampus" is the brain's critical sensory mechanism, lying just beneath the 3rd ventricle, it must processes all stimuli from our five senses. It is also known as the the originating center of most seizure activity. In some cases, neurosurgeons continue to re-operate to find a remedy, while others refer such a patients for biofeedback therapy. On some occasions, patients are mistakenly sent for biofeedback and psychiatric therapy, when in fact they have a surgically treatable problem. This remains the "quagmire" that neurosurgeons are faced with today. It was this ambiguity in determining acceptable shunting outcomes, and unavailability of "real-time" shunt monitoring, that attracted the interests of Stephen Dolle, the author of this paper.

    Many neurosurgeons have the view that a shunted patient will simply adapt, or compensate, to the characteristics of a particular shunt. But physiologic brain CSF fluid clearance is a complex and continuous mechanism. After placement of a CNS shunt, the patient's residual CSF clearance will continue to compete with the implanted shunt in clearing CSF. It has only been in the last few years that less significance is given to ventricular size on CT/MRI in the post operative evaluation. The true goal of shunting is to achieve an acceptable level of " total CSF clearance" and physiologic ICP, or compensation. So today - more consideration is given to the degree of symptoms and activities made possible with a particular shunt. Neuropsychological testing is useful over the longer term, but not normally used as a determinant of shunting outcome or performance. But it is indicative of shunting outcomes and degree of compensation, and ought to be more widely used. Insurance reimbursement remains a significant barrier in managing hydrocephalus in the U.S., in that neuropsychological testing and key critical diagnostic tests for shunt malfunction frequently face denial of coverage.

    It is widely accepted that the best physiologically matched and functioning shunt will produce the fewest complaints, fewest long term health complications, enable higher level cognitive function and productivity, and benefit the patient through the living of a more normal lifestyle. Still, it remains too much a matter of chance that patients are broadly benefiting from today's more physiologic shunt systems. Why a matter of chance? There is no widely accepted standard for pre-surgical shunt selection, no standard for qualifying physiologic shunt outcomes, no technology for early documenting of shunt malfunction, and no effective technology to determine if shunt malfunction is due to a non-physiologic shunt system, shunt failure, neuro-hypersensitivities, or if some combination of all are occurring.

    The assessment for shunt revision does lend itself to arbitrary judgment by the neurosurgeon, and has historically often led to mis-interpretation. When the DiaCeph Test was designed in 1997, Stephen Dolle did so with the hope that it could become an " in-vivo" assessment standard, as similar efforts were undertaken by the IMPACT Test to assess and standardize concussion. The DiaCeph Test aids the neurosurgeon through a number of specific determinations. It allows the patient and family to capture critical ( often misunderstood) data in real time, and standardize it within the parameters of their own case management program. It collects data indicative of whether the patient requires more, or less CSF outflow, and in various body postures and activities. It can indicate a failed valve, an obstruction, a disconnected catheter, or any compromise in flow to any portion of the shunt system. It is an artificial intelligent (AI) palm computer that will print key patient data and comparative charts when connected to its PC program. No more remembering, assorted notes, or physician speculation!

    This paper describes our protocol for using the DiaCeph Test, with or w/o corroboration with in-office ICP shunt tap manometer measurements, as described above, and in concert with available bench test shunt comparison data from the 1999 paper, Aschoff Shunt Reviews (in MS Word). Aschoff and his colleagues at the University of Heidelberg put 482 shunt valves through a series of elaborate bench tests. Two of those charts (Figures 13 and 14) are utilized in the discussion below. The neurosurgeon can review this information in concert with other exams/ clinical information when making a shunt selection, or changing the pressure setting on a programmable shunt. This protocol echoes published research where the most productive, and least symptomatic patient, is implanted with his or her most physiologic and ideal shunt. Use of the DiaCeph Test in tandem with an in-office ICP/shunt tap manometer evaluation, and Aschoff comparative charts, creates a highly accurate shunt selection model for determining CSF outflow needs - without the high costs and risks of in-hospital ICP monitoring.

    In this discussion, Patient No. 1 is followed to illustrate how DiaCeph data can help in selecting the most physiologic shunt. See also our two examples in the DiaCeph Power Point presentation. Patient No. 1 is currently shunted with an Orbis Sigma I Valve (OSV I) in a VP system. DiaCeph data revealed a patent (clear) shunt system. This patient also tends to underdrain (too little CSF outflow) during sleep at night while supine (when ICP is at its highest), with some reciprocal overdrainage immediately following REM sleep - corresponding to surges in ICP. During the daytime, this patient tends to overdrain (too much CSF outflow) slightly over the course of the day when sitting and/ or standing with the OSV-I.

    It is well known that sleep and supine posture produce higher ICP levels, so the shunt must have a low enough opening pressure and ICP responsiveness to accommodate ICP spikes during REM sleep. Patient No. 1 is also 6 feet tall, and has about 15-20% (partial) shunt dependence. These two factors render this patient more susceptible to CSF overdrainage when upright than the typical patient. The taller height creates a longer catheter distance between the inlet point of flow on the patient's head, and the emptying point in the abdomen. Also, with partial shunt dependence, there is ongoing CSF clearance that continues to compete with the shunt to clear CSF. Each individual's brain physiology, pain tolerance, and brain compliance further determines how well an individual will adapt to non-physiologic ICP. This adaptation is invariably influenced by other complex factors such as age, mental stature, and secondary health conditions. Another complicating issue, can be the presence of chronic neurological changes in the brain secondary to hydrocephalus, such as inflammation of the hippocampus, that can mask as shunt malfunction or valve mismatch, and be misleading to the neurosurgeon when revising or re-programming a shunt. Hippocampus complaints are best evaluated via PET (positron emission tomography), fMRI (functional MRI) imaging, and to some degree, through neuropsychological testing.

Featured Shunts and Siphon Control Devices: Discussion and Analysis

    The desired shunt system here must have a sufficiently high enough opening pressure, or outflow resistance, to match the physical flow/siphon control needs of the patient when sitting and standing. We have preselected seven (7) widely used shunts for consideration, which by specification somewhat appear to suit this sample patient, and to which Aschoff et. al. has flow analysis data from standardized bench testing.

The seven (7) valves for consideration include:

1. Strata programmable shunt from Medtronic/PS Medical, has integrated siphon control device (SCD)

2. Medos programmable valve from Codman, comes with or w/o Siphon Guard siphon control device

3. Orbis Sigma Valve (OSV II) auto-regulating shunt from Integra

4. Newer Low Flow Valve from Integra

5. Diamond Valve auto-regulating valve from Vygon Neuro

6. SM8 series programmable valve from Sophysa

7. Polaris programmable valve also from Sophysa

In addition, we consider two (2) secondary devices (as Sophysa and Medos valves come w/o siphon control):

1. Meithke shunt assistant or gravitational device from Asculap

2.  Vygon gravitational device from Vygon Neuro

 

    In Figure 14 below, Aschoff provides a flow curve of the Codman Siphon Guard device, that appears to limit CSF outflow to 20-25 ml/hour (normal CSF production rate), though after allowing an initial surge to 150 ml/hour. The Meithke Shunt Assistant anti-siphon device, not evaluated here, comes in 6 pre-set resistance levels of 10, 15, 20, 25, 30, and 35 cm of H2O, that add the rated cm of H2O to the opening pressure of the patient's primary shunt valve when he/she is upright. The device is activated by change in angle from the supine posture. Aschoff only provides a chart of an earlier Cordis shunt assistant in Figure 16. It is postulated the Meithke device would display a similar chart appearance.

    Figures 13 and Figure 14 below were taken from page 15 of Aschoff et. al.'s study, "482 Valves Tested in Vitro and a Review on 652 Tests Reported in Literature." The full excerpt of this study can be found in this MS Word format file Aschoff Shunt Reviews.

    As is seen in Figure 13, each of the eight (8) shunt valves evaluated had unique flow (ml/hour) patterns in response to increasing pressure (cm H2O), simulating a patient's response. Featured are the Orbis Sigma Valve I, the Orbis Sigma Valve II, Holter-Hausner 70 and 100 mmH2O opening pressures, the Phoenix 3 70 mmH2O opening pressure, Denver Low-Flow pressure, Spitz-Holter Medium opening pressure, and the French-Neurone 9 95 mmH2O opening pressure.

Fig. 13   Comparison of pressure-flow-graphs of Orbis Sigma Valve (type I) vs. low-flow slit-valves with a little bit sticking silicone.

 

    Figure 13 chart reveals a higher flow rate for the Orbis Sigma I valve above 30 mmH2O over its newer Orbis Sigma II model, plus a higher flow rate compared to the other valves shown for opening pressures below 15 mmH2O. The Orbis Sigma II model would be more suitable for patients with low to normal intracranial pressure and outflow needs (lower opening pressure), and more resistance to flow under higher opening pressures (such as when upright). This chart reveals increased outflow resistance (lower flow) during peak flow for the Orbis Sigma II Valve  over the Orbis Sigma I Valve. The OSV I was discontinued last year, so we include it only for comparative value. The difference in maximum CSF flow between the OSV II and OSV I is measurable on this chart, and suggests that the OSV-II will better control overdrainage. In Patient No. 1, the Orbis Sigma II Valve would be slightly more effective in limiting CSF outflow (overdrainage) with the patient standing, and offer additional resistance to run-away CSF outflows during REM sleep. It is not known if this additional resistance is sufficient to control this upright overdrainage, and run-away CSF when the patient is laying supine during sleep. The determining shunt issue would be how rapidly it "responds" to the ICP surges of REM sleep.

    Figure 14 below compares Codman's Siphon Guard 3 (anti-siphon device only) to Vygon's Diamond valve and Integra's (discontinued) Orbis Sigma I Valve in a hanging system - to assess control of upright overdrainage. It suggests the Diamond Valve would be beneficial in patients who need anti-siphon control, but having average CSF outflow needs - similar to a low-medium pressure valve. In the case of Patient No. 1, the Diamond valve may resolve the underdrainage problem associated with sleep, but would likely allow overdrainage in the upright posture, and likely not suit this patient. By comparison, the Orbis Sigma I Valve provides more anti-siphon control, with less overall CSF outflow than the Diamond valve - similar to a medium-high pressure valve. The Siphon Guard appears to limit CSF outflow to 20-25 ml/hour, but it does not reveal how its flow restriction might act under varying postures. The Siphon Guard is available as an integral system with the Codman programmable (Hakim) shunt model, which comes with 18 separate pressure settings, or as a supplemental device.

Fig 14  Pressure-flow-characteristics of Phoenix-Diamond and Codman Siphon Guard 3 compared to the flow of a previously tested Orbis Sigma I Valve. The Diamond shows a higher flow, leading a higher risk for over-, but a lower risk for underdrainage compared to Orbis Sigma I Valve. The Siphon Guard 3 strictly limits the flow to 20 ml/h.  Note: It is a supplementary valve. The flow near the opening pressure is controlled by the main valve (not shown)!

    Per Fig. 14 and the needs of Patient No. 1, neither the OSV-1, the Diamond valve, nor Siphon Guard (supplemental device) is a good physiologic match. The Orbis Sigma II Valve was not fully evaluated by Aschoff. It's auto-regulating specs as pressure/flows include: Stage I = 30 to 80 mm H2O at 5 to 18 ml/hour, Stage II = 120 to 300 mm H20 at 18 to 30 ml/hour, Stage III = 300+ mm H2O at 30 to 40 ml/hour. It may be a match for this patient. Published studies suggest it to be more responsive to ICP changes than its earlier discontinued OSV-1. The Meithke shunt assistant (30 or 35 cm H2O model) could be attached to a Codman or Sophysa programmable valve would seem to be a good predictable match. The Codman valve comes with 18 pressure choices, in 10 mm increments from 30 mm H2O to 200 mm H2O. The Sophysa comes in four different models ranging from 10 to 140 mm H2O, 30 to 200 mm H20, 50 to 300 mm H2O, and 80 to 400 mm H2O, with eight pressure selections within each model range. The SM8 model with 30 to 200 mm H20 is their standard model. Sophysa has a new programmable shunt, the Polaris, reported as unaffected by magnetic fields, with the same low and high end pressure ranges, but with only "five" pressure selections to choose from. The SPV is reported to be their widely used standard model. With all other available programmable valves susceptible to unintended reprogramming from exposure to magnetic fields, it is a feature to consider.

    Medtronic's programmable shunt, the Strata valve, comes only with its original SCD siphon control device integrated inside the valve, and has a total of " five" pressure selections, ranging from about 15 mm H2O up to 160 mm H2O. Compared to the Codman and Sophysa valve, which have pressure selections in 10 mm H2O, and 15 to 30 mm H2O increments, respectively, the Strata valve's incremental selections are spaced slightly further apart, 20 to 35 mm H2O on average. It is not known of how significant the physiological limitations of having only five pressure selections (Strata and Polaris), and may well be an occasional individual patient issue. It is inviting to speculate why these manufacturers chose to use the varied pressure selections and ranges. Perhaps it relates to patent and proprietary issues, or merely their effort to target different pressure schemes. A reasonable argument would support Sophysa's use of four (4) separate models/range of pressure selection schemes, provided the neurosurgeon has the necessary ICP/CSF outflows information on each patient - to avoid a mis-match. We note their SM8-140 model offers the lowest opening pressure (10 mm H2O) of all the programmable valves studied, and perhaps more suited for infants.

Siphon Control Considerations

    The above programmable valve pressure specifications would appear to meet the opening pressure requirements for this Patient No. 1 - in the supine posture. But the difficulty comes in the selection of the very critical "siphon control" device (or auto-regulating shunt valve) that will most physiologically regulate CSF outflow, and ICP, in the upright postures. The upright specifications required for this patient, as described earlier, are critical to controlling his propensity to overdrain. In addition, with a frontally located ventricular catheter (near the top of his head), the valve and accessory placed at this site will have to overcome the additional 2 to 4 cm H2O of resistance while upright by CSF having to flow up vertically thru the ventricular catheter before emptying into the abdomen.

    We were unable to locate additional CSF flows specifications on Codman's Siphon Guard device. The Meithke Shunt Assistant has more detailed product literature as a siphon control device, narrowing the pre-surgical guesswork. The Strata valve's integral siphon control device (and separately available SCD) requires the valve body/SCD to be placed at a fairly precise vertical location, or "zero point," on the patient's head relative to the inflow point - the tip of the ventricular catheter. Its placement site then acts as a reference point for the degree of siphon retarding resistance. The Strata's Technical Bulletin illustrates on page 6, Fig. 13, just how critical its vertical placement or "zero point" is on the patient's head - in order to create the desired reference point and upright CSF flow control per its specifications. Fig 13. clearly illustrates how a mere 3 cm vertical misalignment above the zero point will limit upright CSF flow to less than 10 ml/hour, and lead to underdrainage; whereas a 3 cm misalignment below this zero point will allow upright CSF flow rate to reach about 110 ml/hour, leading to overdrainage. Additional resistance is also caused by overlying scalp/scar tissue encapsulation, as well as pressure exerted by lying on it. So, this reference point is extremely critical, and only relates to SCD and ASD anti-siphon device designs.

    In Patient No. 1, it is critical that upright siphon control maintain ICP between -10 and +10 cm H20, by controlling CSF outflow in concert with the programmable valve's opening pressure. An approximate figure of negative hydrostatic pressure (when standing) acting upon a standard 60 to 70 cm peritoneal catheter length is said to be about -50 cm H20. A person at 6 feet in height will have an even longer distance, perhaps 80 cm to 90 cm of catheter, and about -70 cm (negative) hydrostatic pressure. In order to maintain this patient's ICP above -10 cm H20 when standing, the combined valve and siphon control resistance must counteract this -70 cm H20, and match with the patient's own ICP, measured in cm of H20.  The shunt system must also consider the prospects for overdrainage, more significant in patients with a lesser amount of shunt dependence. This same shunt system must feature resistance and valve opening pressures to accommodate the patient in supine posture, where we can estimate the siphon effect and hydrostatic pressure to be negligible. In the supine posture, the shunt system should maintain ICP between +10 cm H20 and +20 cm. Either a programmable shunt with a good siphon control device for upright posture flow control, or the Orbis Sigma II valve auto-regulating shunt could be used in this patient. 

    Most shunt models provide specifications according to "opening pressure," to which CSF flow is determined, in part upon the amount of pressure (in ICP) in the user's ventricles, the dimensions of the valve and catheter (including a distal slit valve), and per the presence of a siphon control device in the system. Distal slit valves have been employed at the tip of a peritoneal catheter to reduce hydrostatic pressure, but have been mostly discontinued due to problems with debris clogging the outflow path. The critical specification in CNS shunts is "CSF outflow," because when it is correctly controlled under various postures and physical exertion, so will the ICP of the user. There are well published elaborate formulas for determining "CSF outflow," which we will not cover here. Instead, we would advocate the creation of "opening pressure/CSF flow/ICP templates," so neurosurgeons can readily correlate shunt specification data, rated in resistance, to a patient's measured ICP and required CSF outflow figures.

    Patient No. 1 has a frontally located 5 cm ventricular catheter pointing downwards. So, if an SCD device or Strata valve (SCD located distal end) were implanted, it would need to be placed at a vertical site on the head within a 1 to 2 cm window of the "zero point," or same horizontal plane as the tip of the catheter, to achieve the needed upright CSF flow control. In effect, site placement in a Strata or SCD creates a customizable level of upright siphon flow control - but must be strategically located to create the desired level of resistance. It is important to have "pre-surgically ascertained data" of the patient's upright and supine ICP and outflow needs, in order to determine the customizable level of upright resistance. Otherwise, the neurosurgeon is guessing. Programmable siphon control devices would address this issue, and enable external fine-tuning of upright ICP. 

    Medtronic's literature states that a Strata valve placement and misalignment by more than 3 cm of distance from the required zero point will lead to dramatically altered CSF flow rates in the upright posture - and may not permit any of its five pressure settings to achieve an acceptable CSF outflow and patient ICP in both postures. We contacted Medtronic and asked them to create a special pre-surgical placement protocol to enable the Strata, Delta, and SCD devices to be efficaciously placed in accordance with their literature. Medtronic indicated they are not interested in any new protocol.

    Siphon control provided by the Meithke shunt assistant and Vygon/Phoenix gravitational device are based upon pre-calibrated fixed resistance measurements in cm of H20. Meithke's only stipulation is that it be placed vertically within a shunt system, limiting its placement to a limited area on the back of the head, or in the chest. The Meithke, Vygon, and Siphon Guard devices all claim variable control of anti-siphon action to patient posture, which is a physiologic feature if carried out correctly. This variable control is also a feature of the Orbis Sigma and Diamond Valve shunts. The Meithke and Vygon devices must be sutured in during surgery, and the neurosurgeon must be comfortable with these additional steps.

Conclusion

    All three programmable shunt valves (Codman, Medtronic, and Sophysa) likely meet the supine and overall needs of Patient No. 1, except for the appropriate siphon control. We are concerned with the variability of Strata valve site placement as to how it can dramatically affect CSF outflow in the upright postures. And without a site placement protocol, we viewed the use of the Strata and the neurosurgeon guess-timating site and anti-siphon control to be an additional liability. With the Meithke Shunt Assistant not being widely used in the U.S., and neurosurgeons being generally unwilling to splice in an additional anti-siphon device in the upper chest area, we viewed the Meithke/Sophysa combo as a less likely choice. We had asked Codman for additional information on the Siphon Guard, but they were unable to provide anything further. We met with Integra and discussed their OSV II and Low Flow valves. Integra reports design and manufacturing improvements in the OSV II allow this shunt to better migrate between Stages I, II, and III, particularly in the control of overdrainage. The OSV II could well be a correct shunt match for this sample patient, but we wanted to see additional studies or data on the OSV-2. The earlier OSV-1 did struggle to maintain upright and supine physiologic ICP.

    With Medtronic unwilling to provide additional QA with a pre-surgical placement protocol, concerns about the not so proven (Medos) Siphon Guard device, and with Sophysa models not widely used in the states and requiring a separate siphon control device in the chest - our recommendation for this sample patient was to go with the OSV-2. It is the simplest to implant and has the least amount of downside risk.

Follow-up to Revision to Codman Medos with Siphon Guard

    Though in our study we concluded the OSV-2 was the best match for this patient, the treating neurosurgeon felt more comfortable with the Codman Medos. So in July 2007, the Codman Medos w/ Siphon Guard was placed w/o incident. In follow-up, it took 6 trial settings to optimally settle at 40. A setting above 40 to 50, would awaken the patient at night with headaches, while also at 40, there was some continued daytime overdrainage, with reciprocal periods of increased ICP thought related to the Siphon Guard. In less than 6 months, the Medos valve began to reset upwards to between 90 and 110 (as seen on x-ray), and possibly higher when not x-rayed.

In May 2008, the patient was taken back to surgery and the OSV-2 was placed. The following 4 Valve DiaCeph Graph depicts his performance with 4 past valves, including the recent OSV-2, and when his Medos valve reset upwards. The patient reported much improved complaints after discharge. Here is a Comparative DiaCeph Graph 3 months post. The real proof came in the 6 month follow-up CT scan below - far right - normal sized ventricles. His scans demonstrated ventricular dilatation like the two images at left, and even larger, during the 16 years he was shunted.

                           

  Dec 2003 OSV-1 c/o         June 2007 OSV-1 preRevision          Nov 2007 Medos w SG                         Oct 2008 OSV-2

    We conclude our tandem DiaCeph/Single ICP Tap shunt selection model to be an accurate and efficacious model for presurgical planning, shunt selection, and optimal patient outcome.